Sprechstunde für Hüftgelenkerhaltende Chirurgie
Klinik für Unfallchirurgie, Orthopädie und Plastische Chirurgie
Hüftschmerzen äußern sich am häufigsten durch Schmerzen im Bereich der Leiste. Darüber hinaus kann es zu einer Bewegungseinschränkung im betroffenen Hüftgelenk bekommen. Durch gezielte Untersuchungen sowie auch bildgebende Verfahren können Hüfterkrankungen heutzutage sehr genau diagnostiziert werden. In den letzten Jahrzehnten hat sich das Verständnis für Hüftbeschwerden deutlich verbessert, sodass Erkrankungen innerhalb als auch außerhalb des Gelenks als Ursache abgeklärt werden sollten.
Unser Behandlungsspektrum

- Hüftgelenk-Impingement (Femoroacetabuläres Hüftimpingement = FAI): bei dem es zu einer Engstelle zwischen Hüftkopf und Hüftpfanne kommt
- Strukturelle Schäden am Hüftknorpel und Gelenklippe (Labrum)
- Hüftgelenkdysplasie
- Hüftkopfnekrose
- Fehlstellung des Oberschenkelhalses (Coxa valga et antetorta, Coxa retrotorta)
- Schmerzen und Entzündungen der Glutealsehnen durch Verletzungen oder Überlastungen (Glutealsehneninsuffizienz / -ruptur)
- Hüftgelenktumore (z.B. Chondromatose, pigmentierte villonoduläre Synovialitis (PVNS))
Beispiele

Röntgenbild von einem linken Hüftgelenk mit CAM-Impingement (Nockenwellenimpingement): Der Schenkelhals ist deutlich verbreitert und zeigte eine zu geringe Taillierung des Hüftkopf-/Schenkelhalsübergangs.

Röntgenbild von einem linken Hüftgelenk mit Pincer-Impingement (Beißzangenimpingement): Das Pfannendach überragt den Hüftkopf zu weit.

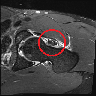
MRT-Bild von einem rechten Hüftgelenk mit Riss der Gelenklippe sowie auch intraartikulärem Knorpelschaden.

MRT-Bild von einem linken Hüftgelenk mit Teilsehnenriss der hüftstabilisierenden Muskulatur (Glutealmuskulatur).

MRT-Aufnahme von einem intraartikulär liegendem synovialen Tumor (PVNS)im linken Hüftgelenk.
Terminvereinbarung
Telefon: 0551 3969699
Oder nutzen Sie unser Online-Formular zur Terminvereinbarung.
Sprechstunde: montags von 08.30–14.00 Uhr
Unser Therapiekonzept
Wenn die Ursache für die Beschwerdesymptomatik gefunden wurde, kann eine gezielte Therapie eingeleitet werden. In vielen Fällen sollten selbstverständlich zunächst konservative Maßnahmen vollständig ausgeschöpft werden, bevor eine chirurgische Therapie in Frage kommt.
Bei bestimmten strukturellen Veränderungen am Hüftgelenk wissen wir aber heutzutage, dass ein erhebliches Risiko für einen frühzeitigen Gelenkverschleiß besteht, wenn diese nicht operativ behandelt werden. Die bekanntesten strukturellen Veränderungen sind das Hüftgelenk-Impingement und die Hüftgelenkdysplasie. Diese Veränderungen werden daher auch als präarthrotische Deformitäten bezeichnet.
In Fällen, bei denen ein frühzeitiger Hüftgelenkverschleiß droht, wird die gelenkerhaltende Hüftchirurgie durchgeführt. Ziel ist es dabei die strukturellen Veränderungen am Hüftgelenk zu korrigieren, sodass das eigene Gelenk möglichst lang erhalten werden kann.
Beispielhalft sei hier das Hüftgelenk-Impingement genannt. Beim Hüftgelenk-Impingement kommt es zu einem Zusammenstoßen (Impingement) zwischen Schenkelhals bzw. Hüftkopf und der Hüftpfanne. Ursächlich hierfür ist entweder eine Verbreiterung des Schenkelhalses (fehlende Taillierung) oder aber eine übermäßige Überdachung des Hüftkopfs durch die Hüftpfanne. In manchen Fällen liegt auch eine Kombination aus beiden Formveränderungen vor. Außerdem könnenauchanlagebedingte Fehlstellungen des Schenkelhalses oder aber auch der Hüftgelenkpfanne zu einem Hüftgelenk-Impingement führen.
Kommt es nun zu einem regelmäßigen Anschlagen des Schenkelhalses gegen den Pfannenrand kann sowohl die um die Hüftpfanne herumlaufende faserknorpelige Gelenklippe (Labrum acetabulare), als auch der Gelenkknorpel geschädigt werden. In Abhängigkeit von der Häufigkeit, Geschwindigkeit und Krafteinwirkung ( z.B. durch bestimmte Sportarten) kann in der Folge eine Hüftgelenkarthrose entstehen.
Mittels der hüftgelenkerhaltenen Chirurgie kann durch das Abtragen von knöchernen Veränderungen „mehr Platz am Hüftgelenk geschaffen werden“, sodass es nicht mehr zu einem Impingement zwischen Schenkelhals und Hüftpfanne kommt. Darüber hinaus werden selbstverständlich Begleiterkrankungen wie Schädigungen an der Gelenklippe oder dem Gelenkknorpel mitbehandelt.

Röntgenbild von einem linken Hüftgelenk mit CAM-Impingement (Nockenwellenimpingement): Der Schenkelhals ist deutlich verbreitert und zeigte eine zu geringe Taillierung des Hüftkopf-/Schenkelhalsübergangs.

Nach operativer Abtragung der CAM-Deformität zeigt der Schenkelhals wieder eine anatomische Taillierung am Hüftkopf-/Schenkelhalsübergang.
Kontakt

Kontaktinformationen
- Telefon: +49 551 3962462
- E-Mail-Adresse: sgross(at)med.uni-goettingen.de

Kontaktinformationen
- Telefon: +49 551 3965101
Facharzt für Orthopädie und Unfallchirurgie, Spezielle Orthopädische Chirurgie
Das könnte Sie auch interessieren